Rédacteurs du cas clinique :
Antoine Dubray-Vautrin, Nathalie Badois, Olivier Choussy, Maria Lesnik
Département d’otorhinolaryngologie et chirurgie cervico-faciale, Institut Curie, Paris


Coordinateur des cas cliniques de la Newsletter de la SFORL :
Pr Nicolas Leboulanger, Service d’ORL, Hôpital Necker-Enfants Malades, AP-HP, Paris


Cas clinique :
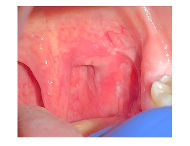
Vous recevez en consultation un patient de 54 ans présentant une gêne pharyngée depuis plus de trois semaines. Il a pour antécédents un tabagisme sevré à 15 paquets-années sans intoxication éthylique avouée ni exposition professionnelle connue. Le patient est adressé en consultation oto-rhino-laryngologique après un traitement par amoxicilline 1 gramme trois fois par jour pour une durée de 7 jours sans régression de la symptomatologie et deux consultations médicales. A l’examen clinique, on ne palpe pas d’adénomégalie cervicale, l’examen de la cavité buccale (fig.1) retrouve une érosion superficielle à la jonction voile du palais, pôle supérieur de l’amygdale gauche de 15 millimètres de grand axe légèrement indurée à la palpation.
Vous l’examinez en consultation avec son scanner cervico-facial injecté et une IRM de l’oropharynx injectée réalisés en amont de la consultation mettant en évidence une asymétrie du voile du palais à prédominance gauche avec rehaussement modéré (fig.2) et une adénopathie parapharyngée homolatérale.


Question Title

Fig.1 : Lésion érosive à la jonction voile du palais et pôle supérieur de l’amygdale gauche de 15 mm de grand axe

Fig.1 : Lésion érosive à la jonction voile du palais et pôle supérieur de l’amygdale gauche de 15 mm de grand axe

Question Title

Fig.2 : IRM oropharyngée avec injection de gadolinium montrant une adénopathie parapharyngée gauche. Sur d’autres coupes a été observée une asymétrie du voile du palais à prédominance gauche

Fig.2 : IRM oropharyngée avec injection de gadolinium montrant une adénopathie parapharyngée gauche. Sur d’autres coupes a été observée une asymétrie du voile du palais à prédominance gauche

Question Title

* 1. Quelles informations manquantes recherchez-vous à l’interrogatoire du patient ?

T